科室发展:
影像中心是集医、教、研为一体的全面发展的综合性、现代化的医学影像专业科室之一。由X光、CT、MR、乳腺钼靶及放射介入等部分组成。目前,我科拥有国内外先进设备多台,科室每年完成影像学检查十余万人次。涵盖全身各部位检查,包括CTA、CT功能成像(颅脑灌注、CT虚拟去钙技术下骨髓水肿显示、痛风石分析、肾结石分析、颅内血肿与碘剂分离技术),影像诊断由解剖诊断走向功能诊断,常规磁共振扫描及功能成像、CT引导下穿刺等;介入科开展大量放射介入诊疗工作,手术量达到每年1200次以上,并且每年以20%的速度增长。
人才队伍:
目前科室现有医师16人,技术员18人,登记员3人,护士10人,其中主任医师2名,副主任医师5人,中级职称5人,初级职称4人。研究生学历1人、本科学历15人。
医疗设备:
1、西门子 双96排FORCE CT、西门子 双64排DRIVE CT、GE 64排128层Lightspeed VCT、飞利浦60排Incisive CT和Optim520 16排螺旋CT。
2、飞利浦 Ingenia 1.5T磁共振扫描机。
3、GE数字化多功能X线摄片机一台,西门子数字化多功能X线摄片机二台(平板胃肠机一台,DR拍片机一台),飞利浦数字化多功能X线摄片机一台,数字化保证了图象质量和后处理功能,检查资料可做无胶片存档,参加远程会诊。
4、数字化钼靶X线乳腺机。
5、数字减影血管造影机两台(西门子Q Celling及Philips FD20)
随着科学技术的发展,高新技术在医学领域的应用,在医院的大力支持下,我科的影像设备有了质的飞越,从普通X光到间接数字X光(CR),再到直接数字化X光(DR)检查,实现了数字化,图像分辨率越来越高,速度越来越快。加之工作站的建立,可实现无片化、网络化、信息化,缩短了报告时间,减少漏诊误诊,为病人提供更加优质的服务,提高病人的满意度。
科研成果:
科室多项技术在广东省及清远地区率先开展并获得科技进步奖,先后在国家级、省级医学科技期刊发表论多篇。
科室注重“以人为本”的人性化服务,检查全过程始终贯穿舒适系统化的医护模式,用亲切的语言、和蔼的微笑安慰和引导病人,解除病人的恐惧心理,赢得了病人的信赖。影像中心以高度的责任心和精湛的技术,为每一位到影像中心的患者及家属提供最优质的服务。并确定以下宗旨:
科室口号:服务一流、技术领先、管理科学。
服务理念:态度热情、检查安全、服务体贴。
质量理念:以病人为中心,以检查质量为核心。
科室目标及远景:积极稳定开展各种检查技术,努力推进学科建设,组建一支服务态度良好,技术精湛的医学影像检查团队,为病人提供最优质服务,圆满完成临床科室所要求的诊查任务。

图① 西门子 FORCE CT,双96排,相当于256排CT,德国工业水平巅峰之作。

图② 西门子 DRIVE CT,双64排。
图③ 飞利浦 Ingenia 1.5T原装进口磁共振扫描机,可满足全身各部位的扫描。
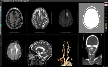
图④

图⑤
图④图⑤为同一卒中患者进行的一站式服务,分别为颅脑灌注成像、头颈CTA、MRI常规扫描及DWI功能成像。

图⑥ 双源CT不同能级下扫描虚拟去钙技术对于骨髓水肿的判定。
图⑦ 双源CT不同能级下扫描后重建对痛风石检出。

图⑧ 冠脉CTA,优势在于无心率限制,特别适合心率失常及房颤患

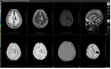
图⑨ 磁共振SWI功能成像对微小出血检出及颅内型海绵状血管瘤检出。