【科室发展】 英德市人民医院口腔科成立于2013年9月23日,设口腔颌面外科病房(大五官科病区)和口腔门诊(住院部口腔门诊、新城口腔门诊)。经过几年的发展,口腔科已发展成为集临床、教学、科研和预防保健为一体的英德市口腔疾病诊疗中心。目前口腔科年门诊量达5万多人次,年住院病人手术量达300台次,取得良好的社会效益和经济效益。口腔科开展许多新项目、新技术,填补了英德市口腔医学专业诊疗项目的空白,许多项目在清远市享有很高的知名度。
【人才队伍】 口腔科技术力量雄厚,拥有主任医师1人,副主任医师2人,主治医师7人,医师2人。副主任护师1人,护师5人等18名口腔专业技术人才,临床业务范围齐全。科室医疗骨干口腔科主任傅隆生(主任医师、教授,MBA硕士研究生学历),黄坚槐主任助理(副主任医师、副教授),赖会茹(副主任医师、副教授),巫巧存(副主任护师、护士长),肖秋月(主治医师),肖振朋(主治医师)。有外出口腔专科进修人员8人及短期学习22人次。傅隆生主任担任清远市医学会口腔科学分会副主任委员、广东省口腔医师协会理事、广东省基层卫生协会口腔专业委员会常委、国家执业医师临床技能考试广东省考区口腔类别主考官、2020年入选《岭南名医》。黄坚槐担任广东省口腔医学会口腔-头颈外科委员会青年委员、清远市医学会口腔科学分会委员。
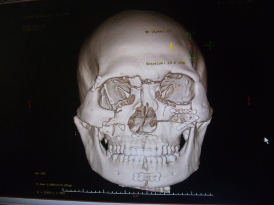
【诊疗技术】 口腔科业务技术娴熟,已创建口腔专科特色。如1.牙缺失人工种植牙手术。2.颌面创伤全面部骨折微创切开复位钛板内固定重建术。3.口腔颌面创伤畸形整复术。4.腮腺肿瘤美容小切口功能性外科手术切除术。5.先天唇裂、腭裂整复手术和序列治疗。6.自体牙移植术。7.牙外伤脱落自体牙再植术。8.颌面部肿瘤、血管动静脉畸形切除术。9.复杂阻生齿微创拔除术。10.上下颌骨前突正颌外科手术整形术。11.儿童、成人牙列不齐固定正畸矫治术。12.牙齿美白术。13.难治性慢性根尖周炎根管治疗术。14.难治性牙周病牙周微创治疗术。15.全瓷牙、二氧化锆固定义齿美容修复术。16.复杂全口牙缺失全口种植活动义齿美容修复术。
【医疗设备】 口腔科开设牙科综合治疗台15张、口腔住院病床10张。医疗设备先进,拥有德国卡瓦口腔CT、西诺德数字化口腔全景机、韩国种植牙机、意大利超声骨刀、根管治疗仪、根管长度(牙髓活力)测量仪、牙周治疗仪、牙齿美白治疗仪、内窥镜系统、光固化机、口腔综合治疗台、口腔专业消毒炉。严格实行一人一机一用,避免交叉感染。口腔科初诊
复诊实现网上预约挂号网络数字化
减少了病人的候诊时间
方便了患者就诊
提高了工作效率
【科研成果】 口腔科在清远市科技局成功立项四项,完成科研成果鉴定3项,均为省内先进项目,一项正在研究当中。科室先后在《中华口腔医学杂志》、《华西口腔医学杂志》、《口腔颌面外科杂志》、《口腔疾病防治杂志》、《微创医学杂志》《临床医学杂志》、《肿瘤基础与临床杂志》等国家级、省级杂志上发表医学论文40余篇。
【服务宗旨】 口腔科是既年轻而富有活力的团队,始终以朝气蓬勃
团结进取的精神和以一流的技术、一流的服务、一流的设备、一流的环境为广大口腔疾病患者服务
让您享有舒适的就医环境和高质量的口腔诊疗服务。

口腔颌面创伤手术

腮腺肿瘤、面神经解剖手术

先天性唇裂手术后

全面部骨折钛板内固定手术

种植牙术后

种植牙术后 (2)