5月下旬,英德进入“龙舟水”天气,潮湿又闷热,时不时又下起雨。
5月27日早上7点,15岁的小美(化名)在宿舍突发不适,幸好室友及时发现。小美出现“意识障碍、左侧肢体乏力”的症状。老师和同学立即拨打120,送到了英德市人民医院急诊科。
医生提醒:如果出现下列状况,要及时就医!

小美送达急诊科后,急诊医护团队迅速响应,完善头颈部CTA评估血管后,立即开启脑卒中绿色通道。
卒中中心值班医生王善正详细了解病情后,考虑小美的症状为“右侧大脑半球大面积脑梗死,右侧大脑中动脉闭塞”。经与其家属详细沟通,小美需及时开展介入治疗(通俗地说就是通过微创的方式取出血管内的栓子,使得血管复通)。同时,向上级医师厉三明主任医师和广东省人民医院杨哲贤(帮扶专家)医师汇报病情。


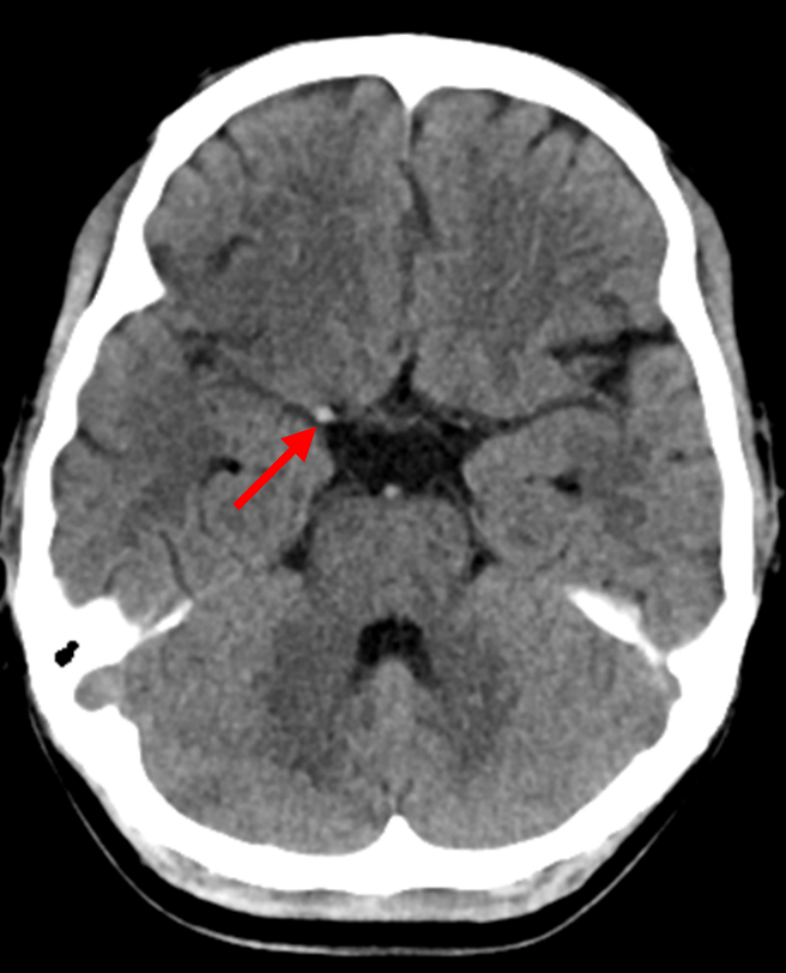
图1 图2
患者头颈部CTA(图1.右侧大脑中高密度影;图2.右侧颈内动脉末端、大脑中动脉闭塞)
广东省人民医院杨哲贤(帮扶专家)医师立即来到病房查看小美的情况,此时她的神志已经模糊,双眼歪斜,口角歪斜,左下肢勉强抬起,左上肢已经完全不能活动。
杨哲贤医生一边安慰小美父母,一边与他们沟通病情。征得小美父母同意后,小美送达介入科,将开展急诊取栓术。在介入科主任刘伟波主任医师的统筹安排下,介入团队提前做好准备工作。


图1 图2
图1.DSA证实右侧大脑中动脉闭塞;图2.血栓抽吸术后右侧大脑中动脉复通
当天上午11点32分,手术顺利完成,小美神志转清,左上肢可以抬举,复查颅脑CT后送入神经内科二区进行后续治疗。
在医护人员的精心治疗、护理后,小美病情日渐好转,可生活自理,现已康复出院。
小美出院后,一直惦记着照顾她的医护团们,手写了三封信,以表她的谢意。

小美康复出院后写的感谢信

省人民医院杨哲贤主治医师(帮扶专家)带领卒中团队进行病例分析、总结经验

杨哲贤主治医师(帮扶专家)教学查房、指导卒中后的护理、康复
科普时间窗
什么是“青年脑卒中”
青年脑卒中实际上是脑卒中的一种类型,一般是指18~45岁之间发生的脑卒中。
脑卒中(脑梗死、脑出血),俗称“中风”,很多人会认为这是老年的疾病。现在越来越年轻化,早已不是老年人的专属。
脑卒中,尤其是青年脑卒中,对健康、生活、工作、学习等,会造成严重影响。因此,青年人也需警惕脑卒中的发生。
“脑卒中”是指脑部血管突然堵塞或破裂而引发脑部血供不足或异常造成的相关神经功能障碍(肢体、面部,麻木、无力,口角歪斜、视物模糊、严重的眩晕、呕吐步态不稳等)。青年与老年人发生的脑卒中,除了年龄段不同外,二者的病因及危险因素也存在一定的区别。

“脑卒中”病因
不可干预因素:年龄、性别、种族、遗传因素、出生体重。
可干预因素:高血压、糖代谢异常、血脂异常、房颤、其他心脏病(急性心肌梗死、心力衰竭、瓣膜性心脏病、主动脉粥样硬化等)、未破裂动脉瘤、吸烟、饮酒、超重与肥胖、饮食和营养、缺乏身体活动
潜在的可干预因素:睡眠呼吸暂停、偏头痛、高同型半胱氨酸血症、高凝状态、感染和炎症、滥用药物、口服避孕药

如何预防“脑卒中”
1.健康、规律的生活方式,避免熬夜、受凉、感冒,戒烟戒酒、避免被动吸烟,按时作息,不适时及时就医。
2.适量、规律的中等强度运动,避免肥胖超重:每周3至5天,每次运动时间30至40分钟,男性腰围<90cm,女性<85cm。
3.合理、均衡营养:避免不吃早餐,高盐、高热量、高脂饮食;多吃蔬菜、水果、谷类、豆类和瘦肉类。食盐摄入<6克/日,减少碳酸类饮料摄入。
4.高危人群定期体检:筛查血压、血糖、血脂、同型半胱氨酸、尿酸及风湿免疫及肿瘤相关项目,可行脑卒中风险筛查。
5.积极控制基础病,规律服药、定时检测,记录,按时复诊。
6.保持积极、开朗的心理状态:长期、高负荷精神压力和焦虑可增加脑卒中的风险。
怀疑“脑卒中”可自我评估:
记住BEFAST原则,快速筛查,不再“卒不及防”,如有以下症状立即拨打中风120!

科室介绍
神经内科二区成立于2015年11月5日,是清远市临床重点专科,科室率先开展急性脑梗死静脉溶栓、动脉溶栓、机械取栓治疗,提高脑血管病的治愈率,减少脑血管病的致残率,在2021年已成功创建国家综合防治卒中中心。
神经内科二区开放床位 54张,共有医护人员23名,其中主任医师1名,主治医师3名,住院医师2名,副主任护师1名。
🔷科室业务包括:脑血管病、癫痫、帕金森病、周围神经病、中枢神经感染性疾病、痴呆综合征等神经系统疾病的诊治。
🔷诊疗技术:脑血管造影术、腰穿术、脑脊液置换术、气管插管术、股静脉穿刺术、股动脉穿刺术,急性脑梗死静脉溶栓、动脉溶栓、机械取栓、颅内外血管慢闭开通及血管狭窄支架植入术等治疗。
全科医护人员始终以“爱心、细心、耐心”为准则,践行“诚信、规范、求精、务实”的工作原则,全心全意为患者服务,为群众解除病痛。
🔷专科门诊地址:综合楼一楼6号诊室
🔷眩晕门诊地址:综合楼一楼7号诊室
🔷住院部地址:新内科住院部10楼
🔷科室电话:0763-2606901
参考文献:
[1]王伊龙,陈玮琪,刘欣如,等.中国脑血管病临床管理指南(第2版)(节选)——第3章脑血管病高危人群管理[J].中国卒中杂志,2023,18(08):898-909.
[2]陶婷婷.警惕!脑卒中逐渐年轻化[N].上海科技报,2024-05-31(008).
[3]Myrna ME,et al.Use of Statins After Ischemic Stroke in Young Adults and Its Association With Long-Term Outcome .Stroke. 2019;50:00-00.
[4]Namaganda P, et al. Stroke in young adults, stroke types and risk factors: a case control study. BMC Neurol. 2022 Sep 6;22(1):335.
[5]黄立文.脑梗死:从风险因素到生活方式改变[N].山西科技报,2024-02-01(B07).