近日,英德市人民医院颈胸外科(甲状腺乳腺外科)团队成功完成一例高难度开放手术,精准切除一位患者颈部近10X15厘米的巨大甲状腺肿物(诊断为巨大甲状腺合并继发甲亢)。此例手术不仅展现了该团队处理复杂甲状腺疾病的精湛技术,也为我们敲响了关注甲状腺健康的警钟。

患者颈部巨大肿物
20年“巨石”终落地
高难度手术解顽疾
52岁的刘女士(化名)在20多年前发现颈部轻微肿胀,因无明显不适未予重视。然而,这颗“小种子”随岁月悄然生长,逐渐演变成颈部的巨大“巨石”,不仅严重影响外观,更带来沉重的心理负担和潜在的窒息风险。
接诊的颈胸外科邓江波主任医师团队详细检查评估后,刘女士诊断为“巨大甲状腺合并继发甲亢”,甲状腺已肿大如“巨大的苹果”,严重压迫气管,“若任其发展,窒息风险极高,手术切除是根治的较好选择。”邓主任介绍。


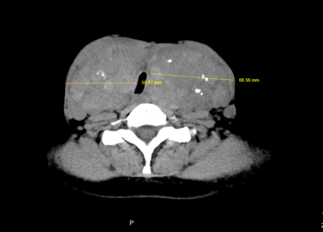
颈部近10X15厘米的巨大甲状腺肿物影像图片
挑战重重 精准抉择
尽管该团队在粤北地区率先开展并精通腔镜甲状腺微创手术,但考虑到肿物体积巨大、与气管、血管、喉返神经等重要结构粘连紧密、手术空间受限等因素,腔镜手术风险显著增加。而且患者合并甲亢,手术难度极大,有出血较多的风险。经过严谨评估,团队决定采用更为稳妥、视野更佳的传统开放手术方案,以确保安全彻底地切除病灶。
精雕细琢 完美收官
手术由邓江波主任医师主刀,团队凭借丰富的经验和精湛的技术,在复杂的颈部解剖结构中“抽丝剥茧”,历时两个多小时,完整切除了巨大肿物,同时完美保护了喉返神经、甲状旁腺、气管及大血管等重要结构。术后,刘女士恢复顺利,未出现声音嘶哑、肢体麻木等并发症。
兼顾功能与美观
团队在手术设计上充分考虑了术后美观,采用沿颈纹设计的低领弧形切口。术中运用美容缝合技术(内缝美容线),确保切口愈合后平整自然,有效避免了传统缝合可能形成的“蜈蚣脚”状疤痕,实现了功能保护与外观满意的双重目标。


刘女士术后复查图片
术后一周复查,刘女士恢复良好,疤痕愈合平整。她激动地表示:“感觉整个人都轻松了!非常感谢邓主任和医护人员!”
专家科普
体检发现甲状腺结节,莫慌!
随着体检普及,甲状腺结节检出率激增(高达20%~76%),许多人因此焦虑不安。体检发现甲状腺结节后,应该如何处理呢?
邓江波主任医师帮助大家正确认识和处理甲状腺结节:
结节≠癌,淡定是首选
绝大多数甲状腺结节是良性的,恶性比例很低。最常见的甲状腺癌类型是“乳头状癌”,进展相对缓慢,被称为“懒癌”,是所有癌症中预后最好的类型之一。发现结节,切勿过度恐慌!

解读报告关键点
- TI-RADS分级
甲状腺彩超报告的核心是TI-RADS分级,它综合了结节回声、形态、边缘、钙化、血流等特征,评估恶性风险:
1级:甲状腺检查正常,无异常发现。
2级:良性发现,包括甲状腺囊性结节,恶性风险为0。
3级:可能良性的结节,具有典型的良性超声征象的结节,恶性肿瘤的风险<5%。
4级:为性质不明的可疑结节,根据恶性超声征象的多少又分为:4a级:具备至少一项恶性征象,恶性风险为5%~10%。4b级:具备至少两项恶性征象,恶性风险为10%~80%。4c级:具备多于两项恶性超声征象,恶性风险>80%。
5级:同时伴有甲状腺周围淋巴结转移证据的结节。
6级:已经细胞学检查(病理穿刺)证实的恶性结节。

科学应对 减少焦虑
首选彩超复查: 甲状腺检查,高分辨率彩超是首选! 它比CT更敏感,能清晰显示结节细节。务必选择正规医院,确保报告描述详细、分级准确(避免过于简略的报告)。
咨询专科医师: 找有经验的甲状腺专科医生解读报告,制定个体化方案。医生会根据分级、大小、症状、患者意愿等因素综合判断:
①观察为主(定期彩超复查): 适用于绝大多数良性(2-3级)、无症状的小结节。
②考虑手术:结节过大,出现压迫症状(如憋气、吞咽困难、声音嘶哑)。彩超提示恶性可能大(4b级以上)或确诊恶性(5-6级)。高功能腺瘤(引起甲亢)。虽为良性,但患者因美观或心理负担过重要求处理。
③穿刺活检/消融: 对于部分4级结节或特定情况,可能建议穿刺明确性质或考虑消融治疗。
规范治疗与随访: 如需手术,医生会评估是开放、腔镜微创还是消融,以及切除范围(全切/部分切)。术后需遵医嘱随访,部分患者(如全切者)需终身服药补充甲状腺激素,并监控复发。
Tips
邓主任总结关键点
— 莫恐慌 —
>95%甲状腺结节是良性的
— 查正规 —
选择正规机构做彩超
报告需详实、有分级
— 勤复查—
良性小结节
定期彩超观察是主旋律
— 大小≠良恶 —
良性结节过大引起症状
或美观问题才需处理
— 疑恶性,按步走 —
根据分级、穿刺结果,由专科医生指导选择观察、活检、消融或手术
英德市人民医院颈胸外科(甲状腺乳腺外科)拥有成熟的开放与微创手术技术,具备处理各类复杂甲状腺疾病的能力,致力于为患者提供专业、规范、个体化的诊疗方案,守护您的“颈”上健康。
如有甲状腺相关问题,欢迎咨询英德市人民医院甲状腺乳腺外科。
门诊电话
0763-2606095
住院部电话
0763-2230339